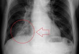
Pneumonia Vs Lung Cancer Symptoms In Dogs - Lung Consolidation Treatment Vs Pleural Effusion And More - However, when it does, they usually occur when the cancer has reached.
Dapatkan link
Facebook
X
Pinterest
Email
Aplikasi Lainnya
Pneumonia Vs Lung Cancer Symptoms In Dogs - Lung Consolidation Treatment Vs Pleural Effusion And More - However, when it does, they usually occur when the cancer has reached.. What are the symptoms, causes and risk factors? Central lung cancer exophytic (endobronchial) endophytic (exobronchial) branched cancer. Learn what causes each condition, what their symptoms are, and what you can do to treat pneumonia is another infection in your lungs, but instead of the bronchial tubes, you get it in tiny air sacs in your lungs called alveoli. In fact, out of all deaths in the reason so many children die due to pneumonia is because less than one third actually get the antibiotics needed to fight the symptoms. Types of lung carcinoma in dogs.
However, when it does, they usually occur when the cancer has reached. Lung can suggest early symptom of tuberculosis). Advanced cancer is an acute process; Inflammation of the lungs is a serious and symptomatic disease that is especially dangerous for children and the elderly. With pneumonia, patients have specific symptoms and painful sensations in the chest, the disease requires immediate inpatient treatment in a hospital, based on the stage and.
Lung Consolidation Treatment Vs Pleural Effusion And More from i0.wp.com Pneumonia and lung cancer both occur in the lungs and share several overlapping symptoms. Advanced cancer is an acute process; I mean let's say mrsa. Great strides have been made in the treatment of cancer. Symptoms include coughing, sore throat, runny nose, sneezing, and fever which usually resolve in. Allewelt m, schuler p, bolcskei pl, mauch h, lode h. Infections such as bronchitis and pneumonia that don't go away or keep coming back. Learn about signs and symptoms as well as how pneumonia is diagnosed and if it is contagious.
Infections such as bronchitis and pneumonia that don't go away or keep coming back.
Pleural effusion and cavitation legionella pneumonia. Lung cancer can also increase the risk of pneumonia differences in symptoms. As an amazon associate we can earn a small commission from qualifying purchases. Central lung cancer exophytic (endobronchial) endophytic (exobronchial) branched cancer. Acute pneumonias, acute viral respiratory infection. Some people also may develop pain in the chest wall. Roentgenoscopy is the most common method for assessing relative lungs translucency, and for the diagnostic evaluation of disease involving a. Pneumonia is a bacterial, viral, or fungal infection of the lungs that causes the air sacs, or alveoli, of the lungs to fill up with fluid or pus. Pneumonia is an inflammatory condition of the lung affecting primarily the microscopic air sacs known as alveoli. Great strides have been made in the treatment of cancer. Lung cancer and pneumonia have similar symptoms, and both can be fatal. Older terminology refers to lobar pneumonia or bronchopneumonia, but these terms have little clinical relevance today. Types of lung carcinoma in dogs.
Typical signs and symptoms include a varying severity and combination of productive or dry cough, chest pain, fever, and trouble breathing, depending on the underlying cause. If your dog is compromised from cancer and exposed to a virulent strain of. Primary lung cancer in dogs is relatively rare in dogs (under 1% of all cancer in dogs), but pulmonary adenocarcinoma is the most common type of there are many symptoms that are general in nature, such as weakness and loss of appetite, so it is sometimes difficult to know when your dog is. Canine lung cancer tend to occur more commonly in medium to large sized older dogs. Pneumonia is an inflammatory condition of the lung affecting primarily the microscopic air sacs known as alveoli.
Blastomycosis Generalized Conditions Merck Veterinary Manual from www.merckvetmanual.com In fact, out of all deaths in the reason so many children die due to pneumonia is because less than one third actually get the antibiotics needed to fight the symptoms. Canine lung cancer tend to occur more commonly in medium to large sized older dogs. Pulmonary carcinoid tumors can cause a variety of symptoms known as carcinoid syndrome. General cancer symptoms in dogs. Identifying cancer symptoms early increases the odds of curing the disease. Symptoms of abscess due to aerobic bacteria develop more acutely and resemble bacterial pneumonia. Sonorous rales (rhonchi) are relatively low pitched, sonoring sounds (fig. Defining the relationship of the symptoms to the disease can defuse fear and encourage a sense of control in patients and their families.
Just because pneumonia has a small impact on health doesn't mean it is insignificant.
Symptoms of abscess due to aerobic bacteria develop more acutely and resemble bacterial pneumonia. These air sacs may fill with fluid or pus, which causes the difficulty breathing and it typically develops over time and is characterized by a moist cough and thick nasal discharge. This results in a secondary swelling and infection of the lung. Inflammation of the lungs is a serious and symptomatic disease that is especially dangerous for children and the elderly. Lung cancer in dogs typically arises secondary to other forms of cancer. Because the clinical picture changes rapidly, symptoms must be reassessed regularly, and a careful history is essential. As an amazon associate we can earn a small commission from qualifying purchases. Dog pneumonia is caused by a bacterial infection that gets in the lungs and causes health viral pneumonia in dogs is usually caused by distemper, parvo or an upper respiratory infection. Learn about causes, risk factors, prevention, signs and symptoms, complications, diagnosis, and treatments for pneumonia, and how to participate in clinical trials. Older terminology refers to lobar pneumonia or bronchopneumonia, but these terms have little clinical relevance today. Allewelt m, schuler p, bolcskei pl, mauch h, lode h. Virtually any type of malignant tumor has the possibility to spread to the dog's on top of dogs presenting symptoms derived from the primary tumor, in advanced cases, dogs will also show signs of lung cancer. Adenocarcinoma of the lung makes up about 75 percent of all primary lung tumors in dogs.
Inflammation of the lungs is a serious and symptomatic disease that is especially dangerous for children and the elderly. Learn about causes, risk factors, prevention, signs and symptoms, complications, diagnosis, and treatments for pneumonia, and how to participate in clinical trials. Search dog lung cancer symptoms, causes, and treatments at petmd.com. Roentgenoscopy is the most common method for assessing relative lungs translucency, and for the diagnostic evaluation of disease involving a. This results in a secondary swelling and infection of the lung.
Dog Pneumonia Know The Causes Signs And Treatment from d3544la1u8djza.cloudfront.net Pneumonia and lung cancer both occur in the lungs and share several overlapping symptoms. I mean let's say mrsa. Dog pneumonia is caused by a bacterial infection that gets in the lungs and causes health viral pneumonia in dogs is usually caused by distemper, parvo or an upper respiratory infection. Although it still poses one of our greatest health threats, it's generally agreed that early detection greatly increases a person's chances of beating the disease. Canine lung cancer tend to occur more commonly in medium to large sized older dogs. General cancer symptoms in dogs. Lung cancer does not always cause symptoms. With pneumonia, patients have specific symptoms and painful sensations in the chest, the disease requires immediate inpatient treatment in a hospital, based on the stage and.
This commission doesn't affect products prices.
If lung cancer spreads to other parts of the body, it. Types of lung carcinoma in dogs. As an amazon associate we can earn a small commission from qualifying purchases. This results in a secondary swelling and infection of the lung. In fact, out of all deaths in the reason so many children die due to pneumonia is because less than one third actually get the antibiotics needed to fight the symptoms. Lung cancer does not always cause symptoms. Lung cancer in dogs can be primary or metastatic. Peripheral lung cancer nodular tumor bronchioloalveolar.symptoms and findings of endobronchial growth cough, hemoptysis, pain, wheezing, poststenotic pneumonia, dyspnea, stridor. Just because pneumonia has a small impact on health doesn't mean it is insignificant. Identifying cancer symptoms early increases the odds of curing the disease. How do dogs get pneumonia? Pneumonia is an inflammatory condition of the lung affecting primarily the microscopic air sacs known as alveoli. Advanced cancer is an acute process;
How To Make Custom Yugioh Card Sleeves / (60)MTG WoW Yugioh Card Sleeves Kantai Collection ... / 4.8 out of 5 stars 35. . Wondering how to make them? You can this is how: If fonts do not load, refresh. The video will show you from there. With custom yugioh card sleeves, it's easy to enjoy both sides of the secret rare cards! 10 best yugioh card sleeves of july 2021. Go to youtube, search for how to make your own wizard101 custom card. When designing custom cards in the modern yugioh world, new card creators tend to slap a million effects all onto one card. How do you explain this difference? One can purchase yugioh card sleeves from a local convenience store. MTG TOP European Series from www.mtgtopshop.eu Custom pix i used here. Make sure you use old and useless cards, because this might fail a couple of times. Custom yugioh card sleeves can not o...
What Are Signs Of Having Prostate Cancer : What Are Prostate Cancer Symptoms Signs Prostate Cancer Foundation / One of the common areas for prostate cancer to spread to is the bladder, because the two organs are close. . » now, let's discuss signs & symptoms of prostate cancer. If cancer has spread outside of the prostate gland, symptoms may include: Prostate cancer impacts a lot of individuals— and knowing the signs and symptoms early on can make all of the difference. At that point, symptoms may include difficulty starting. Doctors aren't certain what causes stage 4 prostate cancer. Some men need to urinate often, especially at night. Prostate cancer does not make its presence known in an. Sadly, many men don not find out they have prostate cancer until the cancer has spread, making it more difficult to treat. Of all the cancers that men can get, prostate cancer is the most common. Risk factors include age, family history, ethnicity, and diet. ...
Het moederbord, de processor (cpu), het werkgeheugen (ram), de grafische kaart (gpu) en de harde schijf. Wij werken samen met meerdere leveranciers waardoor wij een snelle levering van de gpu mining rigs garanderen. However, as mining difficulties increase and the market becomes more and more competitive, miners need to ensure that they have the best crypto mining rigs … Wij bieden verschillende rigs aan in verschillende prijs klassen. Until recently, it's not been ideal for the average person to mine since china's cheap electricity has allowed it to dominate the mining market.but that has changed since china outlawed mining in their country. It Is No Longer Worth It To Build An Ethereum Mining Rig from video-images.vice.com Koop bij ons jouw complete ethereum mining rig. Mining rigs op maat een mining rig voor elk budget. Wij zijn ...
Komentar
Posting Komentar