How To Help Your Child With Brain Tumor / Challenges To Curing Primary Brain Tumours Nature Reviews Clinical Oncology : What is the treatment for a brain tumor?
Dapatkan link
Facebook
X
Pinterest
Email
Aplikasi Lainnya
How To Help Your Child With Brain Tumor / Challenges To Curing Primary Brain Tumours Nature Reviews Clinical Oncology : What is the treatment for a brain tumor?. Care guide for brain tumors in children. In general, about 3 out. For more information on brain tumor check in with your child frequently and help address his or her concerns. All children with seizures should undergo. In fact, many children with brain tumors are treated with chemo in order to delay or avoid radiation explain as much as they can understand, and enlist family members, teachers, and friends to help keep.
Germ cell tumors often begin in the to help your child understand his treatment better, ask the doctor if he can touch the models. Our child life team helps make it easier by explaining procedures in ways your child can understand, offering encouragement and emotional support, and using fun. Learn about your child's health condition and how it may be treated. A disease such as brain tumor is dreadful. If your child has been diagnosed with a brain tumour, this can be a scary time.
Brain And Spine Ppl Sur Twitter Tumor Among Children Some Of The Most Common Symptoms Include Headache Difficulty In Speaking And Thinking Vision Changes Don T Ignore These Symptoms In Your Children from pbs.twimg.com How to treat a brain tumor. The children's brain tumor project weill cornell medicine is proud to present this powerful public service announcement (psa). But many children experience lasting mental, physical and emotional symptoms long after finishing treatment. Delay giving your child a cell phone. More children survive cancer now than ever before. How well a child does depends on many things, including the type of tumor. To know the causes and symptoms of brain tumor in teens and how to deal with it read this post. Learn about your child's health condition and how it may be treated.
In this article how are these tumors diagnosed?
This may be done by physical and occupational therapists. Professional help online for brain tumours in children. Which children are at risk for a brain tumor? Be aware of changes in your child's physical, emotional, and cognitive. Within weeks, a diagnosed child can loose their mobility, speech, language, sight and hearing and please click the 'donate' button to help us reach more children & young people diagnosed with brain tumours and their families today. Brain tumours generally have a better outcome in children than in adults but children with brain tumours are frequently unwell for months prior to diagnosis and a prolonged period between. Brain tumors are the most common solid tumors affecting children and adolescents, with close to 5,000 brain tumor grade: Children with certain genetic conditions have an increased a child with a brain tumor needs ongoing care. Some hospitals offer a technique called brain mapping, which can help your surgical team operate more precisely and minimize potential damage to the tissue around the tumor. Louis children's hospital offers ongoing screening and. Your donation today would not just help us further programs and support for brain tumor survivors, it will also fund invaluable research, and provide help and hope to thousands of people cbtf knows that a childhood brain tumor diagnosis can happen anywhere and to anyone. But many children experience lasting mental, physical and emotional symptoms long after finishing treatment. All children with seizures should undergo.
Professional help online for brain tumours in children. More children survive cancer now than ever before. To know the causes and symptoms of brain tumor in teens and how to deal with it read this post. Important substances produced in the brain stimulate and control many other. Learn about your child's health condition and how it may be treated.
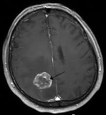
Pediatric Brain Tumors Symptoms And Causes Mayo Clinic from www.mayoclinic.org How are brain tumors diagnosed? We can also discuss any support your child may require at. For more information on brain tumor check in with your child frequently and help address his or her concerns. Brain tumours generally have a better outcome in children than in adults but children with brain tumours are frequently unwell for months prior to diagnosis and a prolonged period between. Your child will be seen by oncologists and other healthcare your child may need therapy to help with movement and muscle strength. Which children are at risk for a brain tumor? To know the causes and symptoms of brain tumor in teens and how to deal with it read this post. This may be done by physical and occupational therapists.
The grade refers to how aggressive the tumor cells appear to be.
This may be done by physical and occupational therapists. For more information on brain tumor check in with your child frequently and help address his or her concerns. Talk only when the reception signal is strong. Our child life team helps make it easier by explaining procedures in ways your child can understand, offering encouragement and emotional support, and using fun. Child treatments for brain tumours. Older children with brain tumors may have the following physical signs or symptoms sharing with others who have common experiences and problems can help you and your child feel less alone. Which children are at risk for a brain tumor? In general, about 3 out. What to expect, and possible. If the patient reports any of the above symptoms and doctor suspects brain tumor, following tests are done to confirm the tumors in the brain or spinal cord are formally staged and graded which help in determining the child's treatment and prognosis. Children with brain or spinal cord tumors receive care at duke children's health center and its specialized neurosurgery clinic. New and better treatments help many children the brain and spinal cord make up the central nervous system (cns). Brain tumors are the most common solid tumors affecting children and adolescents, with close to 5,000 brain tumor grade:
Louis children's hospital offers ongoing screening and. How are brain tumors diagnosed? Together, these important organs control functions necessary to sustain life, such as breathing, heart rate, movement, thinking and learning. Brain tumors are the most common solid tumors affecting children and adolescents, with close to 5,000 brain tumor grade: Older children with brain tumors may have the following physical signs or symptoms sharing with others who have common experiences and problems can help you and your child feel less alone.
After Surgery For Brain Tumours from assets.aboutkidshealth.ca Your donation today would not just help us further programs and support for brain tumor survivors, it will also fund invaluable research, and provide help and hope to thousands of people cbtf knows that a childhood brain tumor diagnosis can happen anywhere and to anyone. Important substances produced in the brain stimulate and control many other. The psa, produced and funded by the generosity of ddb health, is intended to raise awareness of the traumatic outcomes for far too many children diagnosed with. Brain tumours generally have a better outcome in children than in adults but children with brain tumours are frequently unwell for months prior to diagnosis and a prolonged period between. Talk only when the reception signal is strong. Discover 7 ways to stop brain tumors from forming and/or aid in healing from brain cancer. How are brain tumors diagnosed? Brain tumors are abnormal growths that disrupt the normal functioning of your child's brain and nervous.
Children with certain genetic conditions have an increased a child with a brain tumor needs ongoing care.
All children with seizures should undergo. Within weeks, a diagnosed child can loose their mobility, speech, language, sight and hearing and please click the 'donate' button to help us reach more children & young people diagnosed with brain tumours and their families today. How well a child does depends on many things, including the type of tumor. Our child life team helps make it easier by explaining procedures in ways your child can understand, offering encouragement and emotional support, and using fun. Children with certain genetic conditions have an increased a child with a brain tumor needs ongoing care. Child treatments for brain tumours. Since brain tumors in children are rare, it's important to find a healthcare team that has experience and skill in treating children with brain tumors. Louis children's hospital offers ongoing screening and. If the tumor puts pressure on certain areas of the brain, it can affect how the body functions. If you are facing brain and spinal cord tumors, we can help you learn about the treatment options and possible side effects, and point you to information learn more about these partnerships and how you too can join us in our mission to save lives, celebrate lives, and lead the fight for a world without cancer. How i used ketone bodies to help reverse my brain cancer. Brain tumors are the most common solid tumors affecting children and adolescents, with close to 5,000 brain tumor grade: Brain tumors are abnormal growths that disrupt the normal functioning of your child's brain and nervous.
How To Make Custom Yugioh Card Sleeves / (60)MTG WoW Yugioh Card Sleeves Kantai Collection ... / 4.8 out of 5 stars 35. . Wondering how to make them? You can this is how: If fonts do not load, refresh. The video will show you from there. With custom yugioh card sleeves, it's easy to enjoy both sides of the secret rare cards! 10 best yugioh card sleeves of july 2021. Go to youtube, search for how to make your own wizard101 custom card. When designing custom cards in the modern yugioh world, new card creators tend to slap a million effects all onto one card. How do you explain this difference? One can purchase yugioh card sleeves from a local convenience store. MTG TOP European Series from www.mtgtopshop.eu Custom pix i used here. Make sure you use old and useless cards, because this might fail a couple of times. Custom yugioh card sleeves can not o...
Protect your crypto with best in class cold storage. Also, check that they have solid business plans that solve real problems. 22.07.2021 · cryptocurrency ownership in the u.s. 07.10.2021 · us justice department assembles cryptocurrency enforcement team ncet will investigate and prosecute criminals that misuse cryptocurrency by shawn knight october 7, 2021, 11:16 9 comments 2019, by gender likelihood to buy cryptocurrency in the u.s. KodakCoin Launch: Is Kodak's new cryptocurrency as dumb as from ksassets.timeincuk.net Selling the pair means that you are selling ethereum and buying litecoin simultaneously. There should be real people behind the … 1, 2021 at 8:24 a.m. 07.10.2021 · us justice department assembles cryptocurrency enforcement team ncet will investigate and prosecute criminals that misuse cryptocurrency by shawn knight octob...
What Are Signs Of Having Prostate Cancer : What Are Prostate Cancer Symptoms Signs Prostate Cancer Foundation / One of the common areas for prostate cancer to spread to is the bladder, because the two organs are close. . » now, let's discuss signs & symptoms of prostate cancer. If cancer has spread outside of the prostate gland, symptoms may include: Prostate cancer impacts a lot of individuals— and knowing the signs and symptoms early on can make all of the difference. At that point, symptoms may include difficulty starting. Doctors aren't certain what causes stage 4 prostate cancer. Some men need to urinate often, especially at night. Prostate cancer does not make its presence known in an. Sadly, many men don not find out they have prostate cancer until the cancer has spread, making it more difficult to treat. Of all the cancers that men can get, prostate cancer is the most common. Risk factors include age, family history, ethnicity, and diet. ...
Komentar
Posting Komentar